DID YOU KNOW that a baby’s soul chooses its mother before birth?

  The soul is always on a journey, exploring endlessly while deciding where to be born again. It carries its memories, past experiences, and agreements made before entering...

My Daughter Dropped Out of College for a Boyfriend My Age – Until He Showed Up at My Door with Chilling Secrets.

I had always believed I had crafted a strong, independent life for myself and my daughter, Megan. Years of hard work had built a successful career, a cozy...

I didn’t adopt a child from an orphanage; I rescued a grandmother from a nursing home—and I don’t regret it.

When someone adopts a child, people usually beam with approval, nod with admiration, and sometimes even get teary-eyed. It’s seen as noble, moving, heartwarming. But what if I...

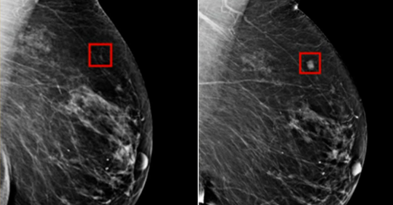
A new type of Artificial Intelligence can detect breast can.cer 5 years before diagnosis

  Researchers have introduced a new, interpretable model designed to predict five-year breast cancer risk from mammograms, according to a study recently published in Radiology. Breakthroughs in AI...

Donald Trump called out for ‘ultimate disrespect’ over two acts at Pope Francis’ funeral after ‘breaking dress code’

Donald Trump was among the many foreign dignitaries who traveled to Vatican City to pay tribute at the Pope’s funeral yesterday (26 April), but viewers were quick to...

Reason behind Donald Trump’s seat at Pope Francis’ funeral after being branded ‘disgrace’ during service

There were rumors that Donald Trump would be given a “third-tier” seat at Pope Francis’ funeral, but it turns out he was placed somewhere else. Earlier today (April...

Donald Trump slammed for showing ‘no respect’ with act at Pope Francis’ funeral

Donald Trump somehow manages to steal the spotlight wherever he goes — even at Pope Francis’ funeral. The 78-year-old has been heavily criticized online, with many accusing him...

My mom left me at a stranger’s door when I was a baby. 25 years later, she started working as my housekeeper, not realizing I was the daughter she had given up

Who is a child without a past or family? No one—just a shadow given a body. “Did you always feel like that—like a ghost?” Mikhail asked, stirring his...

Bone-chilling 2025 predictions from both Nostradamus and Baba Vanga

The prophecies of two of the most famous prophets, Nostradamus and Baba Vanga, have amazed people around the world. Many of their predictions about the future — even...

Meghan Markle accused of ‘staging’ her Easter duckling video as fans spot key detail

MONTECITO, CALIFORNIA: On Easter Sunday, Meghan Markle found herself under the spotlight again after posting a video that some fans think was staged, according to the Daily Mail....